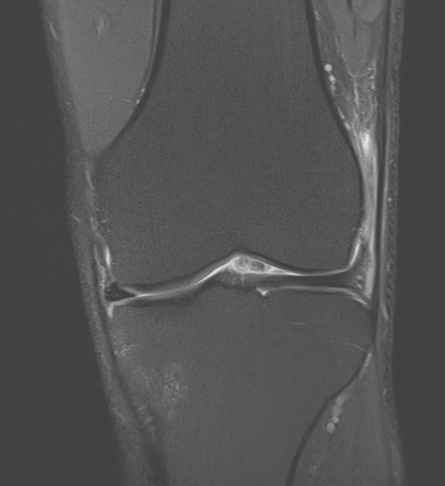
*49-year-old male present with pain above the lateral margin of the knee.



What is the most likely diagnosis?
Answer
Answer: Iliotibial band (friction) syndrome
Case Discussion:
MR images revealed high signal intensity in the fluid sensitive sequences involving the fat planes between the iliotibial band and lateral femoral condyle. There is no significant thickening of the iliotibial band or abnormal signal intensity.
Iliotibial band syndrome is a common cause of lateral knee pain related to intense physical activity resulting in chronic inflammation.
Differential diagnosis: lateral meniscal tear, lateral collateral ligament injury
References:
1. Haims AH, Medvecky MJ, Pavlovich R et-al. MR imaging of the anatomy of and injuries to the lateral and posterolateral aspects of the knee. AJR Am J Roentgenol. 2003;180 (3): 647-53.
