*63-year-old female present with pain in the left infrascapular region.


What is the most likely diagnosis?
Answer
Answer: Elastofibroma dorsi
Case Discussion:
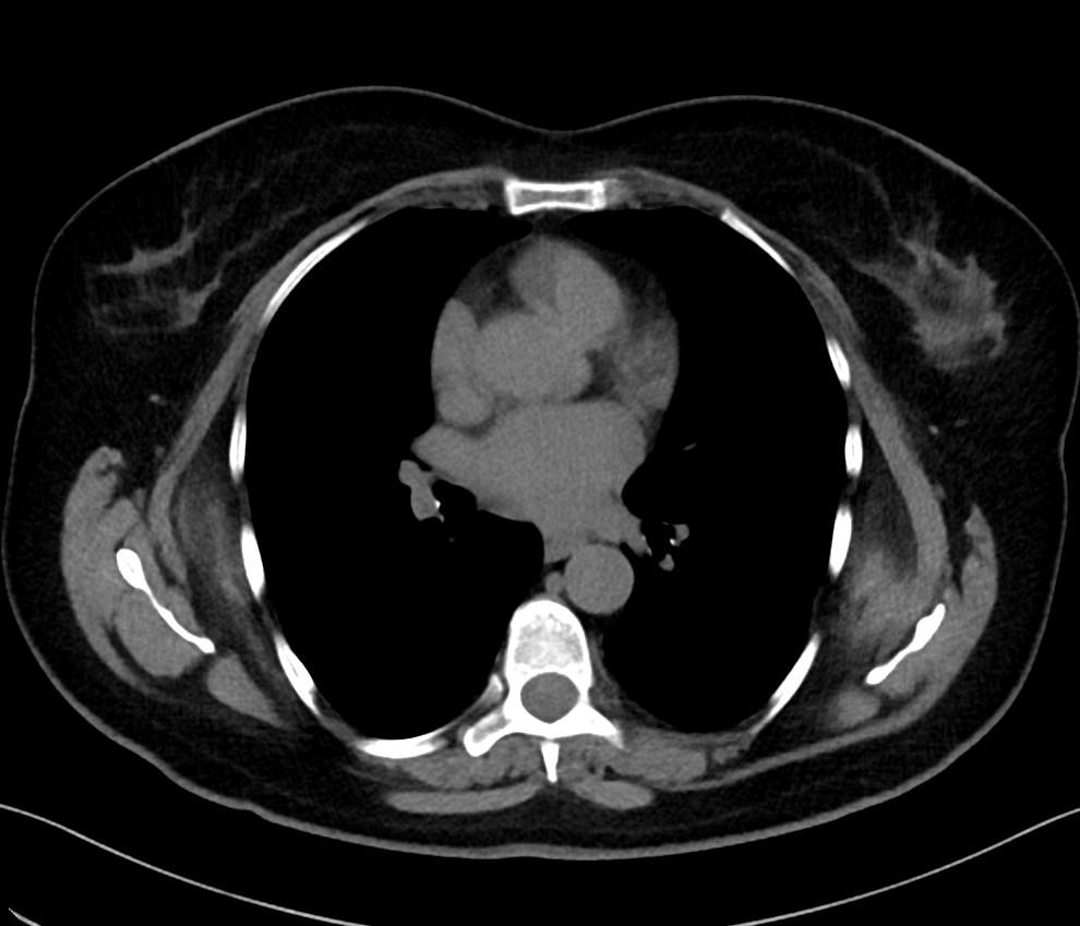
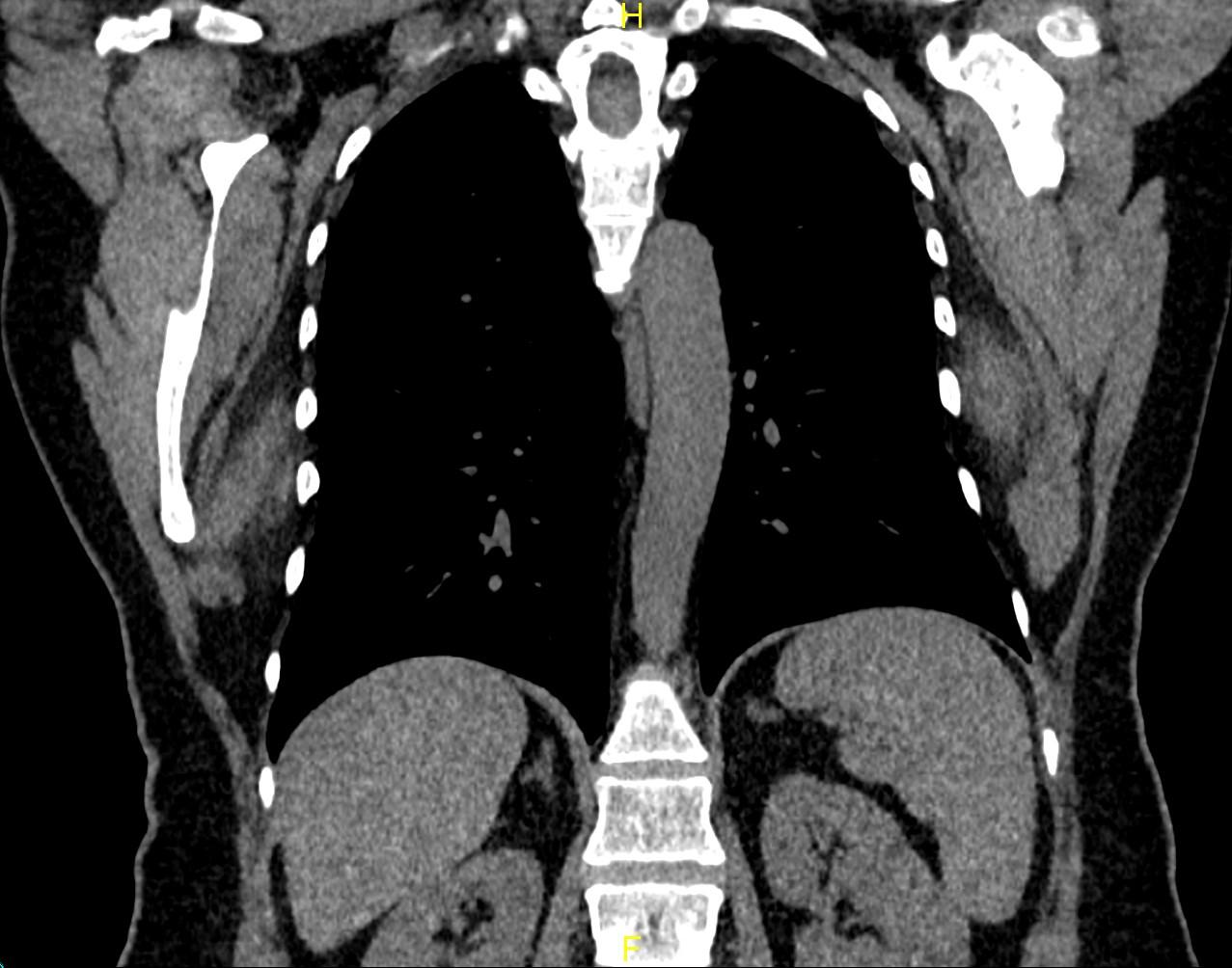
CT images showed bilateral poorly defined soft-tissue mass with attenuation similar to that of the adjacent skeletal muscle. They are located in the infrascapular region suggestive of elastofibroma dorsi lesions.
Elastofibroma dorsi is a benign soft-tissue tumor with a characteristic location and imaging appearance.
Elastofibroma dorsi is more frequently seen in older women. The estimated mean age at diagnosis is around 65-70 years.
References:
1. Ochsner JE, Sewall SA, Brooks GN et-al. Best cases from the AFIP: Elastofibroma dorsi. Radiographics. 26 (6): 1873-6.
