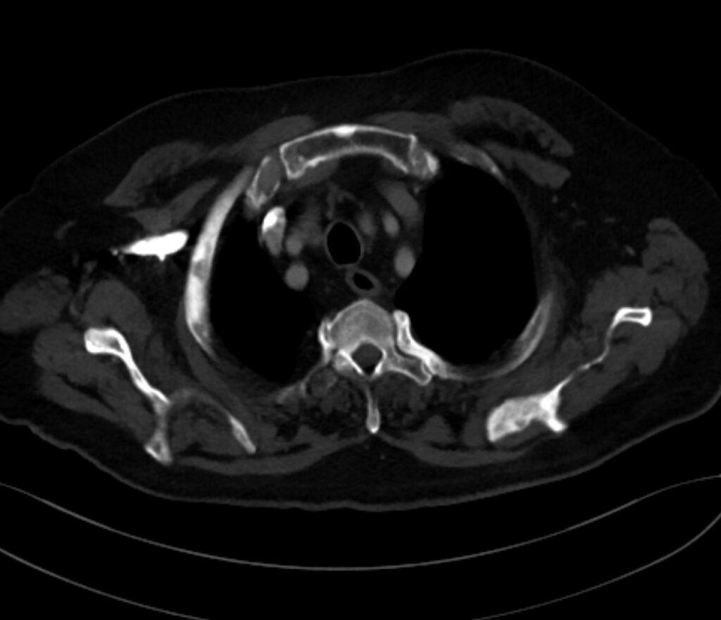
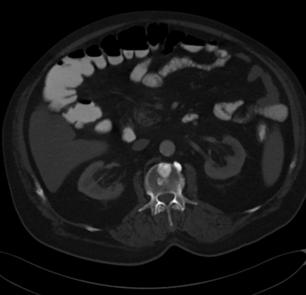
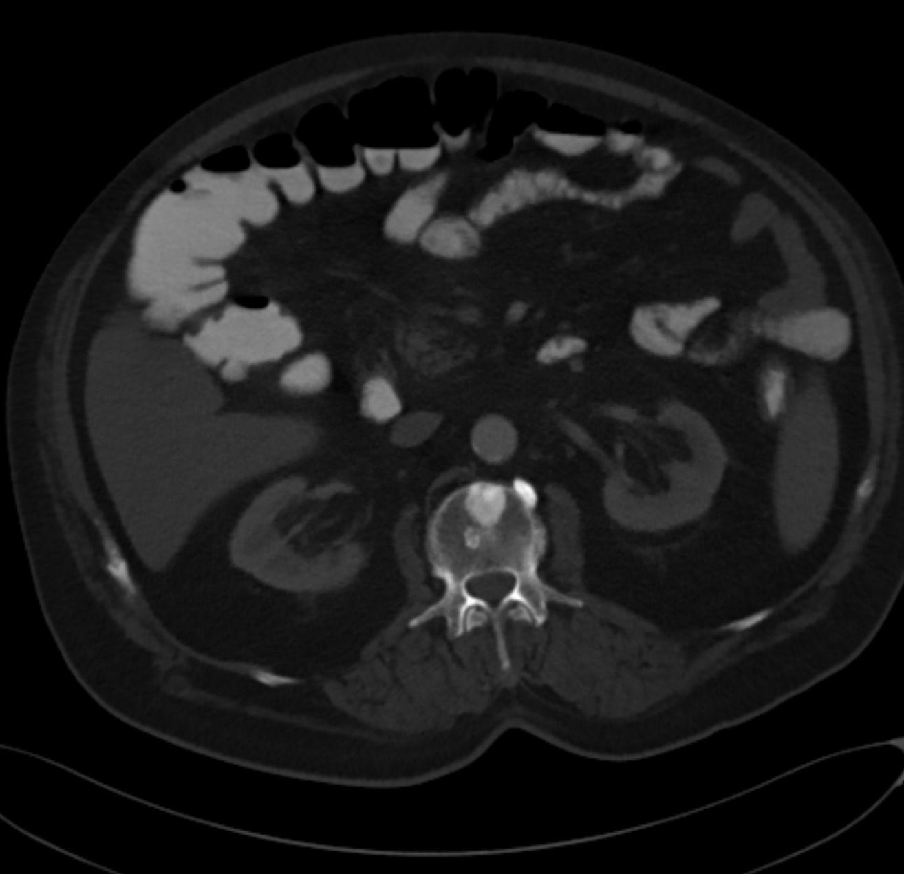
*73-year-old male present with bone pain.



What is the most likely diagnosis?
Answer
Answer:
Sclerotic bone metastases (prostate carcinoma)
Case Discussion:
CT images revealed sclerotic bone metastases.
Sclerotic (blastic) bone metastases can arise from a number of different primary malignancies including:
prostate carcinoma (most common)
breast carcinoma (may be mixed)
transitional cell carcinoma (TCC)
carcinoid
medulloblastoma
neuroblastoma
mucinous adenocarcinoma of the gastrointestinal tract (e.g. colon carcinoma, gastric carcinoma)
lymphoma (e.g. ivory vertebra)
small cell lung cancer
post-treatment appearance of any lytic metastasis
pulmonary adenocarcinoma
medullary thyroid carcinoma
pulmonary adenocarcinoma (very rare)
References:
1. Chapman S, Nakielny R. Aids to radiological differential diagnosis. Saunders Ltd. (2003) ISBN:0702026506.
2. AFIB Radiologic Pathology. 5th Ed. 2006, 2007. p 962
3. Dähnert W. Radiology review manual. Lippincott Williams & Wilkins. (2007) ISBN:0781738954.
4. Resnick D, Kransdorf MJ. Bone and joint imaging. W B Saunders Co. (2005) ISBN:0721602703.
5. Macedo F, Ladeira K, Pinho F, Saraiva N, Bonito N, Pinto L, Goncalves F. Bone metastases: an overview. (2017) Oncology Reviews. 11 (1): 321.
6. A M Hammamy, Riyadh, Farooqui,et al. Sclerotic Bone Metastasis in Pulmonary Adenocarcinoma. (2018) Case Reports in Medicine.
7. Ahuja S, Ernst H. Osteoblastic bone metastases in medullary thyroid carcinoma. (1991) Strahlentherapie und Onkologie : Organ der Deutschen Rontgengesellschaft … [et al]. 167 (9): 549-52.
8. A M Hammamy, Riyadh, Farooqui, et al. Sclerotic Bone Metastasis in Pulmonary Adenocarcinoma. (2018) Case Reports in Medicine. 2018: 1903
