*31-year-old male presented with hip pain.


What is the most likely diagnosis?
Answer
Answer:
Osteopoikilosis
Case Discussion:
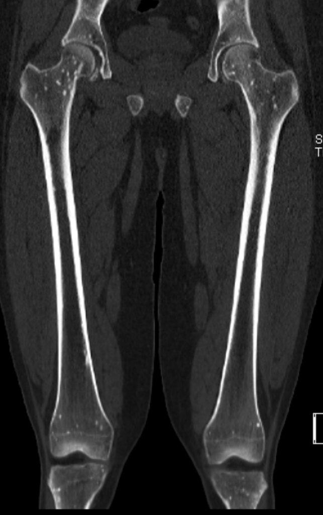
CT images revealed the bone islands of osteopoikilosis, typically clustered around joints.
Osteopoikilosis is a sclerosing bony dysplasia characterised by multiple benign enostoses. It is a rare inherited benign condition incidentally found on skeletal x-rays.
The bone islands of osteopoikilosis are typically clustered around joints and align themselves parallel to surrounding trabeculae. Most lesions are found in the appendicular skeleton and pelvis. The axial skeleton is largely spared. The lesions vary in size, usually a 5-10 mm, but ranging from only 1-2 mm up to 1-2 cm.
References:
1. Benli IT, Akalin S, Boysan E et-al. Epidemiological, clinical and radiological aspects of osteopoikilosis. J Bone Joint Surg Br. 1992;74 (4): 504-6.
2. Ghai S, Sharma R, Ghai S. Mixed sclerosing bone dysplasia-a case report with literature review. Clin Imaging. 2003;27 (3): 203-5.
