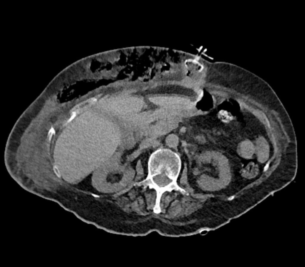
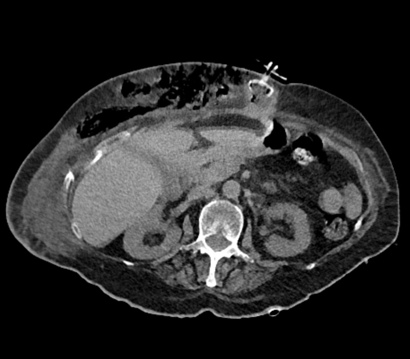
*73-year-old female presented with fever and epigastric redness.

What is the most likely diagnosis?
Answer
Answer:
Dislodgement of the PEG tube
Case Discussion:
CT image revealed dislodgement of the internal bumper of the PEG tube and subcutaneous collection of fluid and air in the abdominal wall.
