*70-year-old male with abdominal pain and vomiting.


What is the most likely diagnosis?
Answer
Answer:
Ileocolic intussusception
Case Discussion:
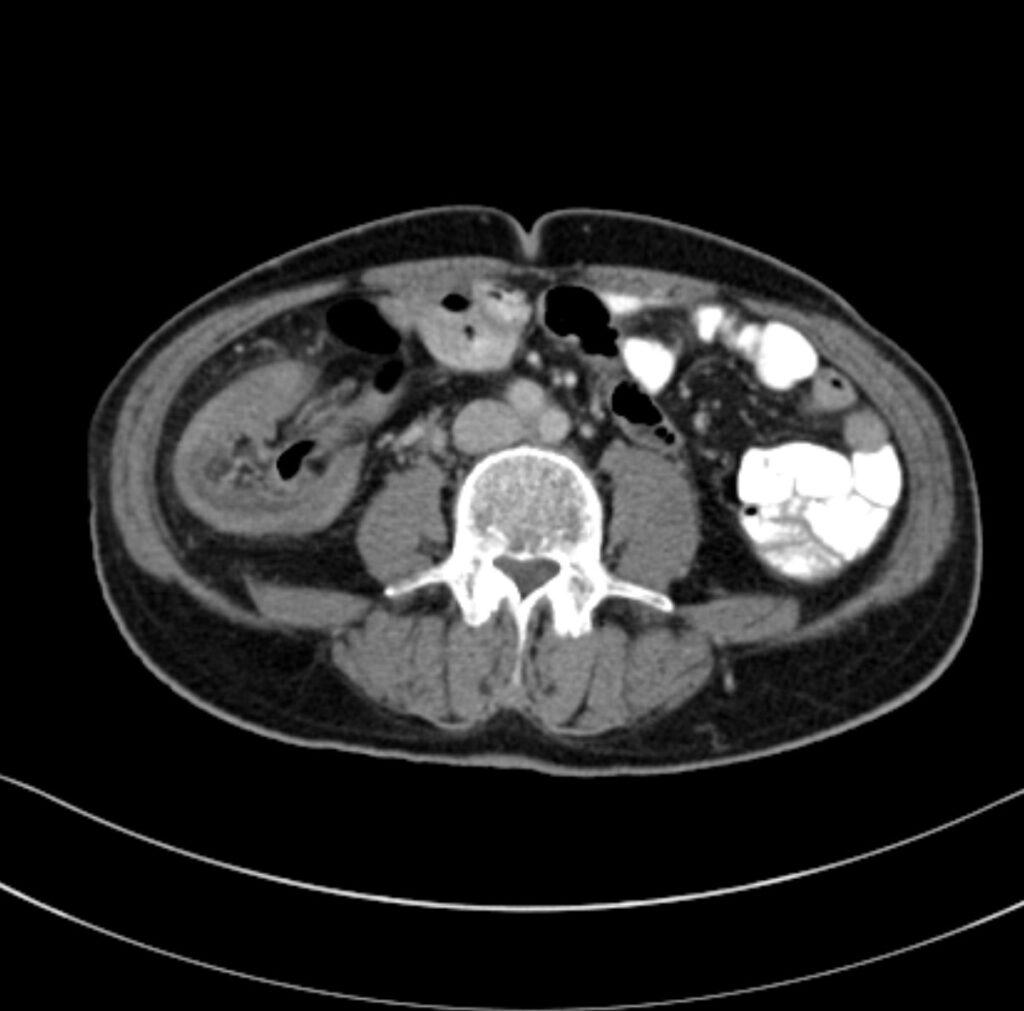
CT images of abdomen revealed the bowel-in-bowel sign in the right lower quadrant with layering of bowel wall and mesenteric fat.
The most common type of intussusception is ileocolic (90%). Ultrasound signs include the target sign and pseudokidney sign.
References:
1. Ayaz UY, Dilli A, Ayaz S et-al. Ultrasonographic findings of intussusception in pediatric cases. Med Ultrason. 2012;13 (4): 272-6.
