"Enter"a basıp içeriğe geçin

Case of the Week 19 2018

*60-year-old male.

What is the most likely diagnosis?

Answer

MR angiography showing the absence of flow in right VA (arrows).

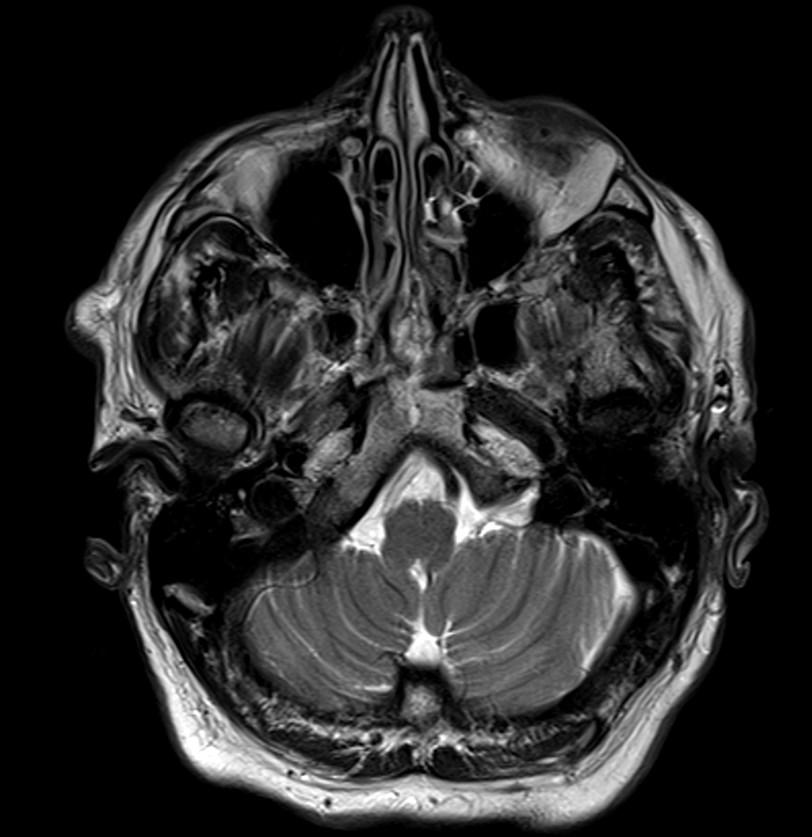
Loss of the signal void was detected on the right vertebral artery on the axial T2 weighted image (arrows).

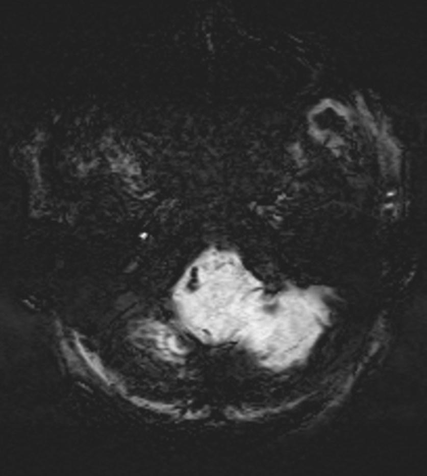
Right vertebral artery showing susceptibility sign on the SWI (arrows).