"Enter"a basıp içeriğe geçin

Case of the Week 29 2017

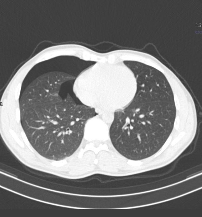
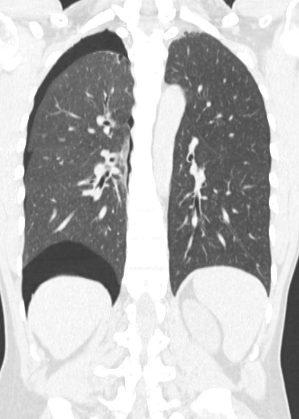
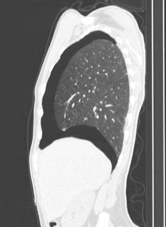
*27-year-old male with pleuritic chest pain and mild dyspnoea.

What is the most likely diagnosis?

Answer

Answer: Secondary spontaneous pneumothorax secondary to blebs