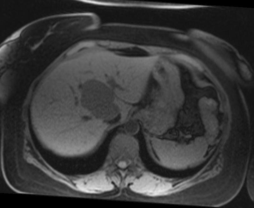
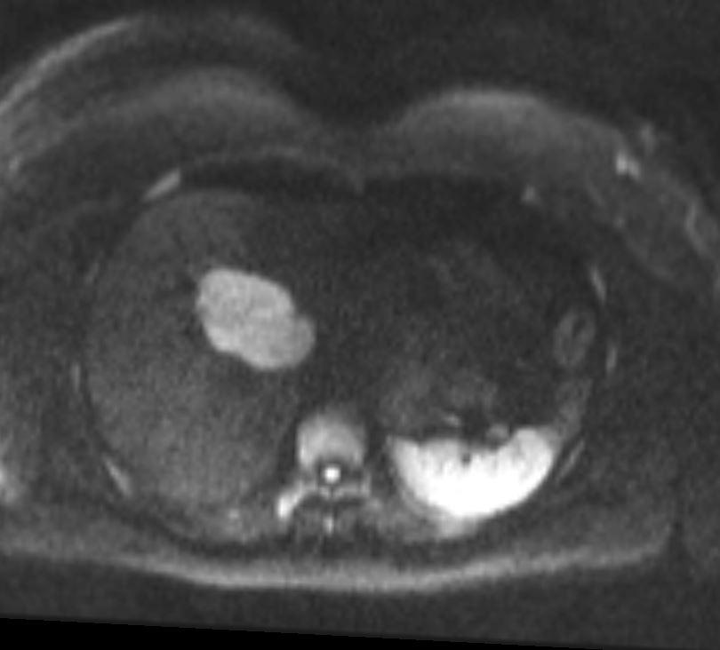
Case of the Week 28 2017 What is the most likely diagnosis? Answer Answer: Cavernous Liver Hemangioma Kategori:Cases Önceki yazı Case of the Week 25 2017 Sonraki yazı Case of the Week 29 2017