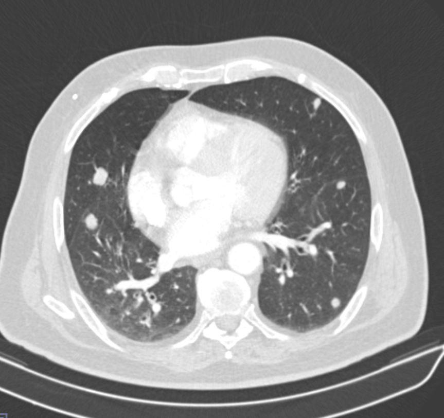
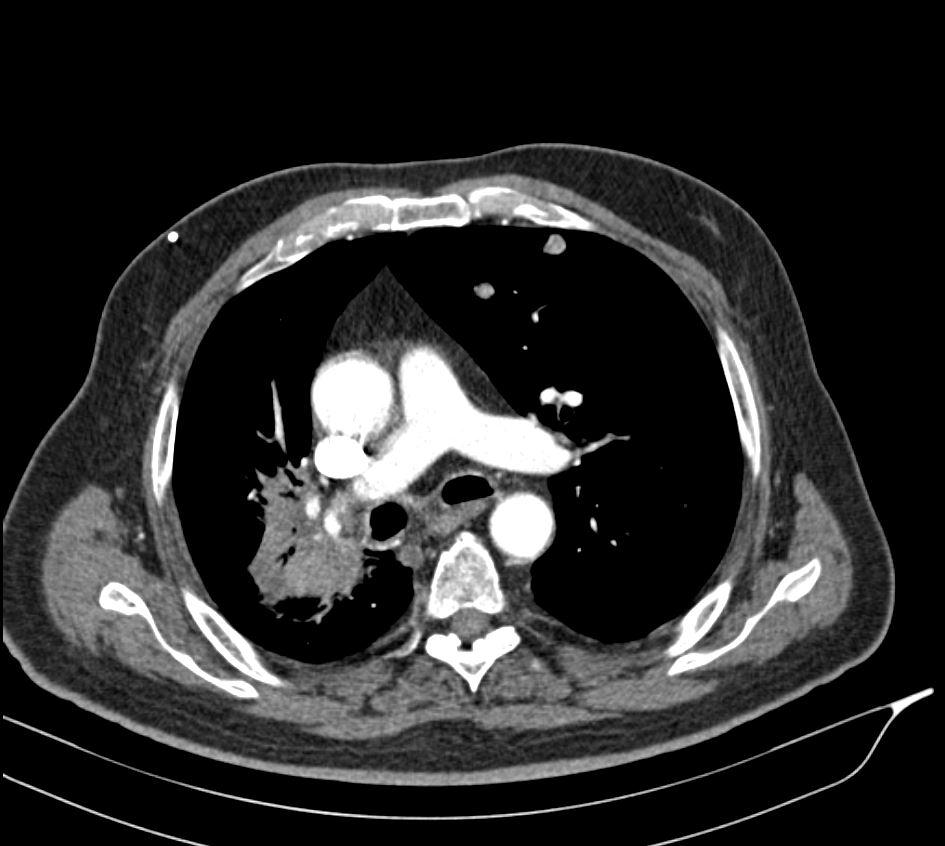
Case of the Week 25 2017 *57-year-old male. What is the most likely diagnosis? Answer Answer: Non-mucinous bronchoalveolar carcinoma and bilateral metastatic pulmonary nodules Kategori:Cases Önceki yazı Case of the Week 24 2017 Sonraki yazı Case of the Week 28 2017