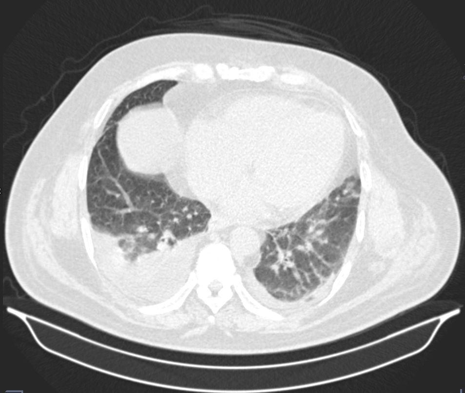
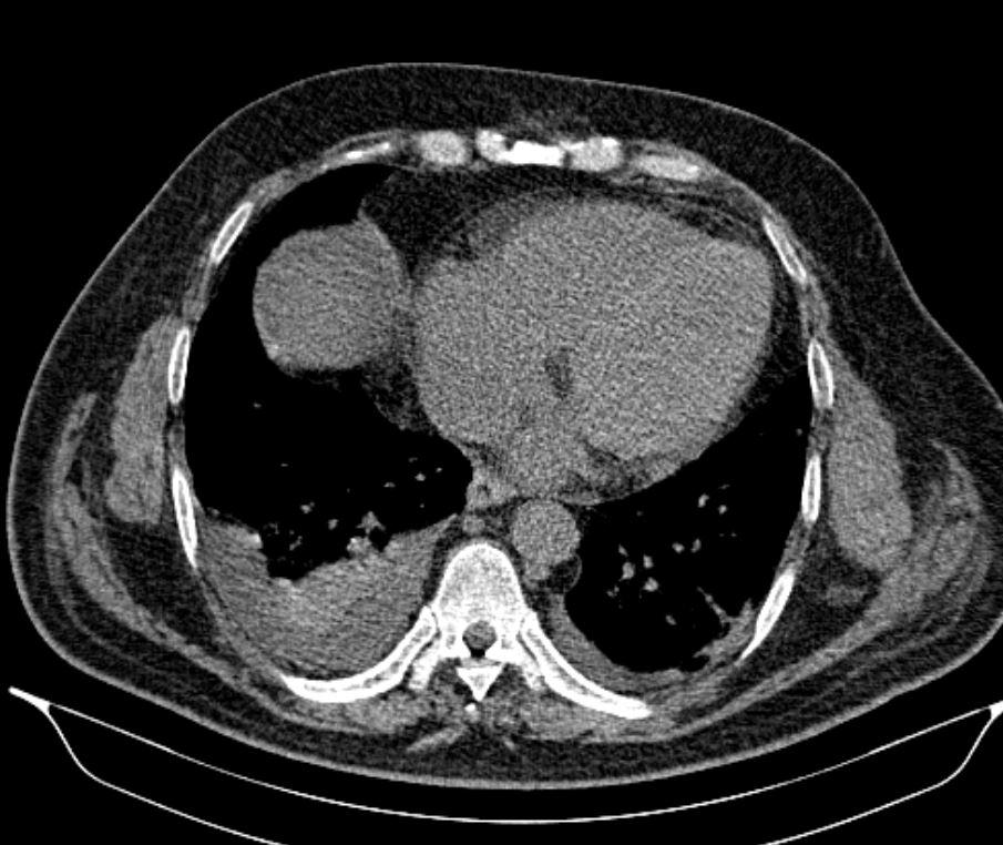
Case of the Week 24 2017 *50-year-old male with shortness of breath. What is the most likely diagnosis? Answer Answer: Pleural effusion and passive atelectasis Kategori:Cases Önceki yazı Case of the Week 27 2017 Sonraki yazı Case of the Week 25 2017