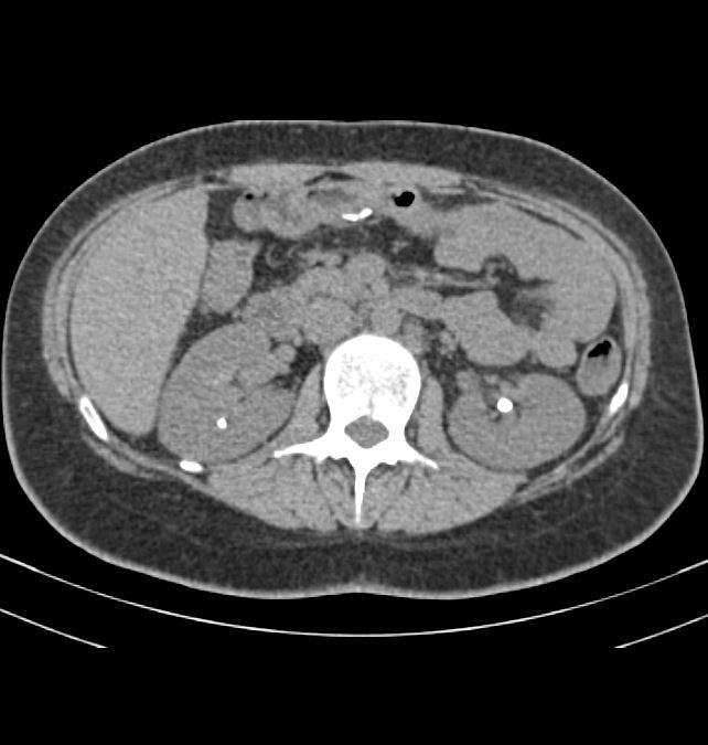
Case of the Week 20 2017 *26-year-old male wiht flank pain, hematuria. What is the most likely diagnosis? Answer Answer: Bilateral nephrolithiasis Kategori:Cases Önceki yazı Case of the Week 16 2017 Sonraki yazı Case of the Week 21 2017