*30-year-old female.





What is the most likely diagnosis?
Answer
Answer: Occult intrasacralmeningocele
Case Discussion:
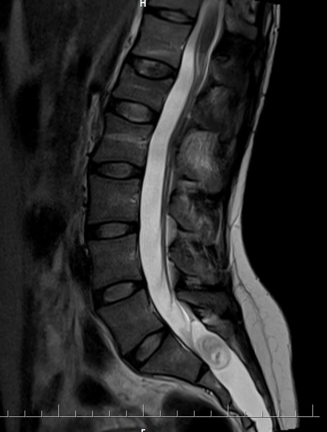
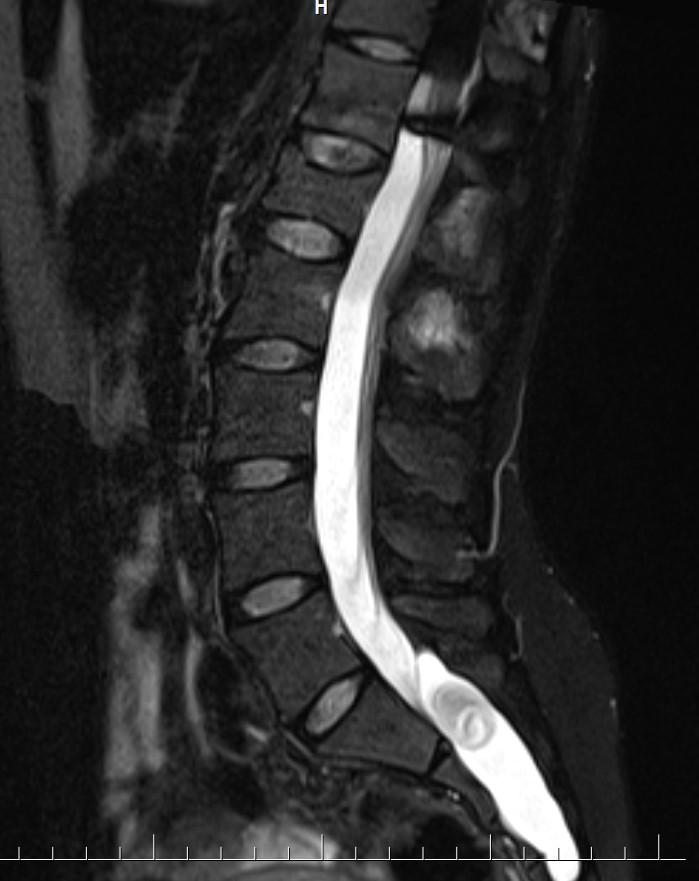
MR images demonstrated large cystic lesion in the sacral canal.
Occult intrasacralmeningocele is an uncommon congenital lesion.
Classification of spinal meningeal cysts (1):
• Type 1: Extradural meningeal cysts without spinal nerve root fibbers
1A:‘‘Extradural meningeal cyst’’ (extradural arachnoid cysts)
1B:‘‘Sacral meningocele’’(Occult sacral meningocele)
• Type 2: Extradural meningeal cysts with spinal nerve root fibbers (‘‘Tarlov’sperineurial cysts’’, ‘‘spinal nerve root diverticulum’’)
• Type 3: Spinal intradural meningeal cysts (‘‘intradural arachnoid cyst’’).
Radiographic features (2)
Occult intrasacralmeningoceletypically appear hypodenselesion (isodense to CSF) enlarging the sacral thecal sac which may displace the nerve roots.
MRI is the best modality to assess an occult intrasacralmeningocele.
• T1: hypointense(isointense to CSF)
• T2: hyperintense (isointense to CSF)
• T1C+ (Gd): no enhancement
• DWI: hypointense, no restricted diffusion
Differential diagnosis
• Tarlov cyst
• Dorsal meningocele
• Dural dysplasia
• Caudal regression syndrome
References:
1. Nabors MW, Pait TG, Byrd EB, Karim NO, Davis DO, Kobrine Al, Rizzoli HV: Updated assessment and current classification of spinal meningeal cysts. J Neurosurg 1988; 68:366-377.
2. Doty JR, Thomson J, Simonds G et-al. Occult intrasacralmeningocele: clinical and radiographic diagnosis. Neurosurgery. 1989;24 (4): 616-25.
