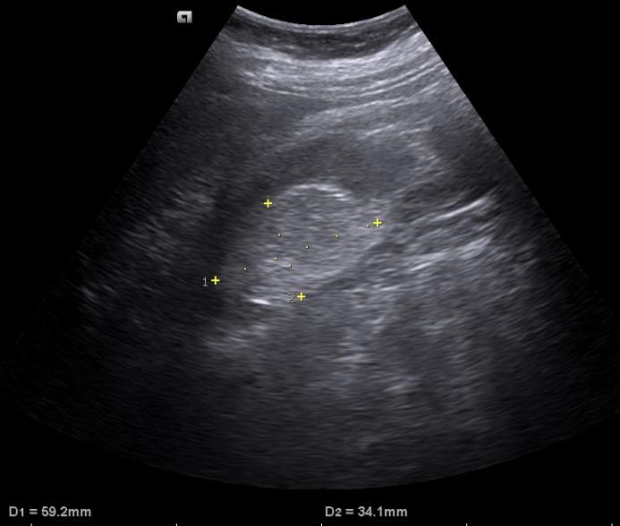
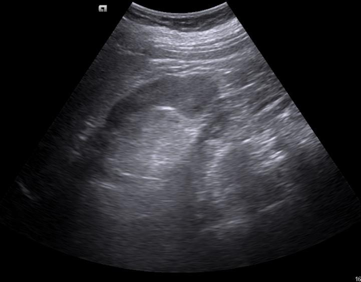
Case of the Week 32 2016 *58-year-old female. What is the most likely diagnosis? Answer: Renal angiomyolipoma Kategori:Cases Önceki yazı Case of the Week 30 2016 Sonraki yazı Case of the Week 5