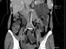
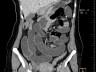
Case of the Week 25 2016 *39-year-old female with abdominal pain and vomiting. What is the most likely diagnosis? Answer Answer: Small bowel obstruction caused by intussusception produced by an ileal lipoma. Kategori:Cases Önceki yazı Case of the Week 21 2016 Sonraki yazı Case of the Week 26 2016