"Enter"a basıp içeriğe geçin

Case of the Week 9

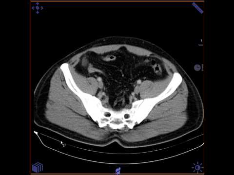
*A 39 year-old man with acute left lower quadrant pain.

What is the most likely diagnosis?

1. Omental infarction
2. Epiploic appendagitis
3. Omental neoplasm
4. Diverticulitis

Answer

Case Discussion:

Scenography shows “sentinel loop” sign in the left lower quadrant. Enhanced axial CT demonstrates an ovoid inflamed fatty mass (arrow).

Omental infarction has a clinical presentation similar to that of epiploic appendagitis, with the infarcted fatty tissue being a segment of the omentum. CT demonstrates an ovoid inflamed fatty mass, larger than in epiploic appendagitis and lacking a hyperdense ring on CT [1].

References:
1. Breda Vriesman AC, Puylaert JBCM.Epiploic appendagitis and omental infarction: pitfalls and look-alikes.Abdom Imaging 2002; 27:20-28