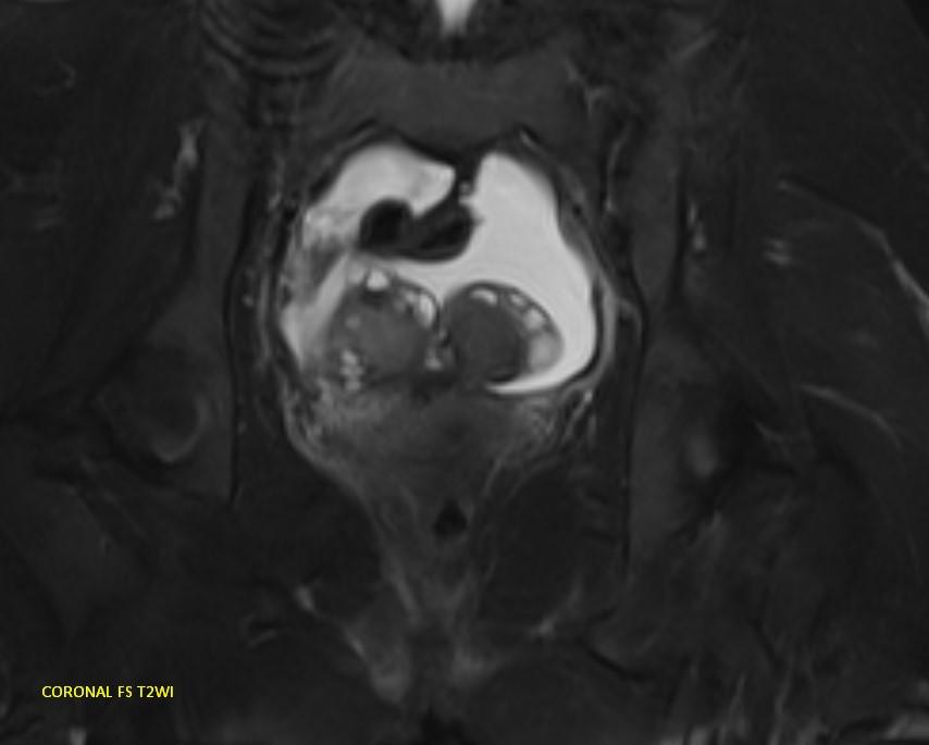
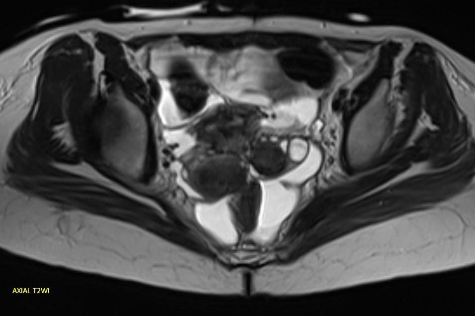
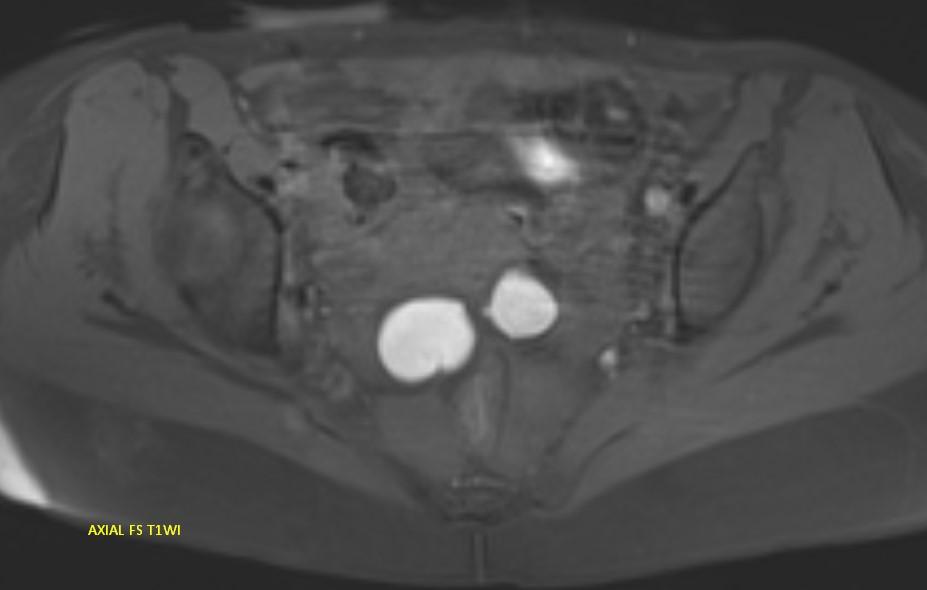
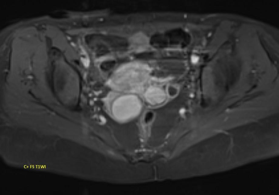
*23-year-old female with primary infertility.





How do you call ovaries pulled toward midline?
Answer
Answer: Kissing Ovary Sign
Case Discussion:
MR images demonstrating the kissing ovaries, bilateral endometriomas (chocolate cysts), and peritoneal inclusion cyst (peritoneal pseudocyst).

Blood products in ovaries may cause adhesions to pull the ovaries toward the midline. This is considered a sign of pelvic endometriosis (1).
References:
1. Penelope L. Moyle, MBChB, Masako Y. Kataoka, MD, PhD, RadioGraphics 2010, 30, 921-938.
