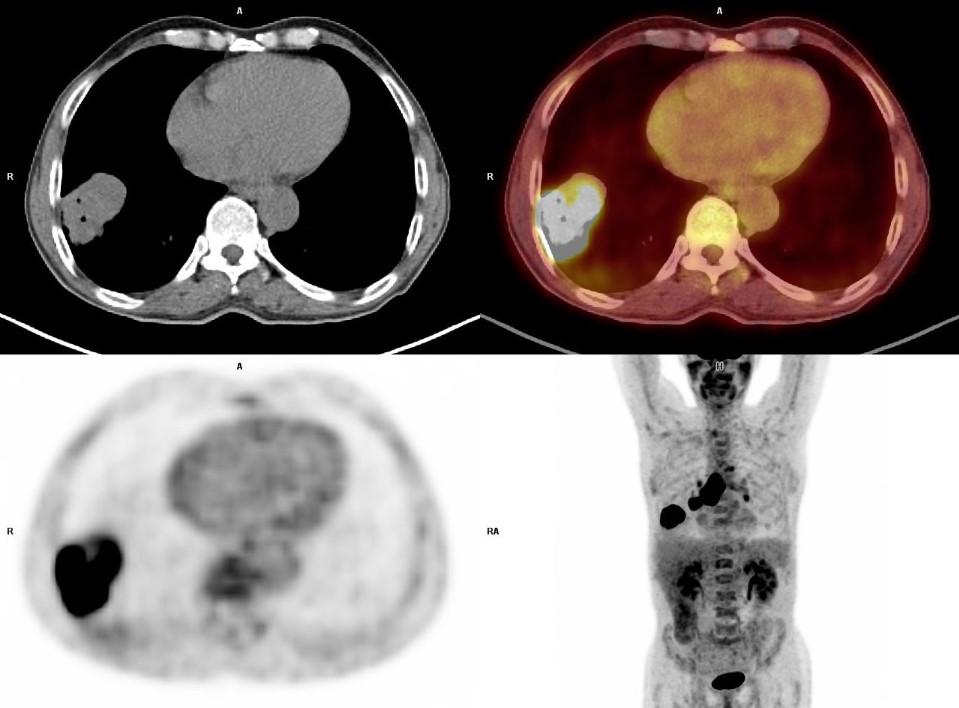
*66 years old male patient with larynx cancer.


What is the most likely diagnosis?
Answer
Answer: Lung Cancer
Case Discussion:
66 years old male patient with larynx cancer. PET-CT showed a solid mass on right lung lower lobe and subcarinal enlarged lymph node with high FDG uptake. Histopathology revealed squamous cell cancer.
